TUMORE DEL TESTICOLO
ONCOLOGIA  
Tumore del testicolo
Rispetto ad altri tipi di cancro, il cancro ai testicoli è raro.  Il carcinoma del testicolo rappresenta l'1% delle neoplasie maschili e il 5% dei tumori urologici.  
 
 Il picco di incidenza è nella terza decade di vita per il tumore non-seminomatoso e per i germinali misti e nella quarta decade per seminoma puro. 
 
 Gli istotipi più frequenti sono il seminoma e quelli non- seminomatosi (coriocarcinoma, carcinoma embrionale, teratoma e tumore del sacco vitellino) che tendono a interessare i giovani e a metastatizzare più  rapidamente.
 
 I fattori di rischio per lo sviluppo del tumore al testicolo sono il criptorchidismo, l’ipospadia, un quadro di  infertilità, storia familiare di tumori testicolari tra parenti di primo grado e presenza di un tumore nel testicolo controlaterale.
 
 Quali sono i sintomi del carcinoma del testicolo?
 
 Il carcinoma del testicolo di solito viene riscontrato dal paziente stesso alla autopalpazione come una massa scrotale duro-lignea, spesso non dolente, a rapido accrescimento; in casi più rari viene rilevata ecograficamente in seguito a comparsa di algie scrotali. 
 
 Il dolore scrotale può essere presente nel 27% dei pazienti. 
 
 Raramente può essere  presente dolore alla schiena e al fianco. 
 
 Come viene diagnosticato il tumore al testicolo?
 
 Spesso sono i pazienti stessi che scoprono il tumore con l’autopalpazione dei testicoli; in altri casi, è l’urologo che rileva  un nodulo al testicolo durante l’ esame fisico di routine.
 
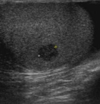
 Il sospetto clinico viene confermato dall’ecografia scrotale che determina la sede, le dimensioni e la vascolarizzazione della lesione.  
 
 La TAC con mezzo di contrasto dell’addome e del torace è raccomandata  per la stadiazione dei pazienti; può essere fatta sia prima che dopo l’orchiectomia.     
 
 La risonanza magnetica ha un'accuratezza simile a quella della TAC  nella  stadiazione della malattia, in particolare nella valutazione  dei linfonodi retroperitoneali.
 
 Il dosaggio dei marcatori tumorali nel sangue prima e dopo l’orchiectomia riveste un ruolo importante. 
 
 I marcatori tumorali sono sostanze normalmente presenti nel sangue, ma i livelli di queste sostanze possono essere elevati in presenza di tumore ai testicoli.  
 
 L'alfa-fetoproteina, la subunità beta della gonadotropina corionica umana (β-hCG) e la lattato deidrogenasi (LDH) vengono dosate prima e dopo l'orchiectomia.  
 
 L’alfa-fetoproteina e la β-hCG sono aumentate rispettivamente nel 50-70% e nel 40-60% dei pazienti con tumore testicolare non seminomatoso,  e circa il 90% dei tumori non seminomatosi del testicolo presenta un aumento di alfa-fetoproteina o β-hCG alla diagnosi.
 
 Solo il 30% dei seminomi puri può presentare un livello elevato di β-hCG .
 
 Come si tratta il tumore del testicolo?
 
 L'intervento chirurgico di asportazione del testicolo (orchifunicolectomia) è il trattamento fondamentale.       
 
 L’intervento prevede la rimozione di tutto il contenuto scrotale (testicolo ed epididimo) e del funicolo spermatico mediante un'incisione inguinale. 
 
 Se lo si desidera, è possibile inserire una protesi testicolare in silicone a scopo estetico al termine dell’intervento.          
 
 In caso di carcinoma del testicolo in fase iniziale, la rimozione chirurgica del testicolo può essere l'unico trattamento necessario.
 
 La chirurgia per rimuovere i linfonodi (dissezione linfonodale retroperitoneale) viene eseguita attraverso un'incisione nell'addome o per via laparoscopica. In corso di linfadenectomia retroperitoneale possono essere danneggiati i nervi che servono all’eiaculazione per cui può essere utile la crioconservazione del seme.
 
 Nel caso di tumore seminomatoso in stadio I  le opzioni di gestione disponibili dopo l'orchiectomia sono la sorveglianza attiva ( rischio di recidiva a 5 anni del 12%- 20%, soprattutto nei primi due anni), un ciclo di chemioterapia con carboplatino, o in alternativa la radioterapia sui linfonodi retroperitoneali.
 
 Nei tumori non-seminomatosi in stadio I il rischio di metastasi non clinicamente evidenti è del 50% pertanto è consigliata la chemioterapia con PEB(cisplatino, etoposide, bleomycina); meno consigliata è la sorveglianza attiva e la linfadenectomia retroperitoneale ( soprattutto in presenza di aree di teratoma).
 
 Nei tumori seminomatosi in stadio II il trattamento di scelta e la radioterapia sui linfonodi retroperitoneali; in caso di linfonodi <2cm con marker normali il paziente va monitorato per almeno 8 settimane ed eventualmente vanno eseguite delle biopsie sui linfonodi prima di procedere a radioterapia.     In alternativa si può utilizzare la chemioterapia (PEB).
 
 I tumori non seminomatosi in stadio II con marker positivi vanno trattati con chemioterapia (PEB) e successiva asportazione della massa residua; se i marker sono negativi, si può sospettare la presenza di un teratoma,  si può eseguire subito una linfadenectomia retroperitoneale oppure monitorizzare i linfonodi riservando la linfadenectomia o la chemioterapia ai casi in cui non si ha una riduzione dei linfonodi o si verifica una aumento dei lindonodi.
 
Ulteriori approfondimenti
Tumore del rene
Negli ultimi 20 anni si è registrato un aumento nell'incidenza in tutto il mondo, in particolare nei paesi occidentali, mentre la mortalità si è ridotta nei paesi occidentali e in Italia.
 
 Carcinoma della vescica 
 Il cancro alla vescica è uno dei tumori più comuni, è il settimo tumore più comunemente diagnosticato nella popolazione maschile. 
 
 Carcinoma dell'alta via escretrice 
 I carcinomi dell'alta via escretrice (pelvi, uretere) originano solitamente dalle cellule uroteliali, le stesse che rivestono la vescica.
 
 Carcinoma del pene 
 Il carcinoma del pene è un tumore raro nella maggior parte dei paesi sviluppati, con un tasso  inferiore a 1 caso ogni 100.000 uomini all'anno.    La sua incidenza aumenta con l'età, con un picco tra 60 e 70 anni, ma può verificarsi anche in uomini più giovani.  
 
